Villejuif, le 3 avril 2024
Publication JAMA
Le risque de rechute d’un cancer du sein triple négatif est plus faible si des cellules immunitaires sont présentes dans la tumeur
Une nouvelle étude internationale et multicentrique démontre que les personnes opérées d’un cancer du sein triple négatif localisé dont les tumeurs sont fortement infiltrées en cellules immunitaires ont un risque plus faible de rechute et un taux plus élevé de survie même sans chimiothérapie après la chirurgie. Cette étude, menée par Gustave Roussy et la Mayo Clinic, (Rochester, Etats-Unis), en collaboration avec l’International immuno-Oncology Biomarker Working group et 11 partenaires, est publiée ce jour dans le Journal of American Medical Association (JAMA) - Article en ligne
Le cancer du sein triple négatif est un sous-type de cancer du sein qui ne répond pas aux traitements par hormonothérapie qui visent les récepteurs d’œstrogènes, ou ceux s’attaquant à la protéine HER2. Cette forme de cancer qui progresse rapidement, plus à même de métastaser avant même la pose du diagnostic, présente un risque plus élevé de rechute comparé aux autres types de cancers du sein. Les cancers du sein triple négatif représentent 15 % de l’ensemble des cancers du sein, et sont plus fréquent chez les femmes jeunes. Les lymphocytes capables d’infiltrer une tumeur, aussi appelés TILs pour tumor-infiltrating lymphocytes, sont des cellules du système immunitaire qui peuvent passer de la circulation sanguine à une tumeur, reconnaître et détruire les cellules cancéreuses.
« Il s’agit d’une découverte importante. L’analyse montre que l’abondance des TILs dans les tissus mammaires est un biomarqueur de meilleur pronostic chez les personnes atteintes d’un cancer du sein triple négatif en phase précoce, même quand une chimiothérapie n’est pas administrée », explique Roberto Leon-Ferre, oncologue médical spécialiste du sein au centre de cancérologie de la Mayo Clinic, et premier auteur de l’étude. « Les résultats de cette étude pourront conduire à de futurs essais cliniques pour déterminer si les patients avec un pronostic favorable (taux important de TILs) peuvent échapper à des cures intensives de chimiothérapie ».
« Cette méta-analyse confirme la valeur pronostique des TILs, que nous avons précédemment rapportée chez les patientes traitées pour un cancer du sein tripe négatif traitées par chimiothérapie. Nous pouvons désormais l’appliquer aux patientes traitées sans chimiothérapie », détaille Sarah Flora Jonas, statisticienne à Gustave Roussy et première co-auteur de l’étude. « De futures études détermineront si l'utilisation de ce biomarqueur, en lien avec les facteurs clinico-pathologiques standards, peut aider à la prise de décision thérapeutique chez les patientes atteints d’un cancer du sein triple négatif ».
« Les premières constatations suggérant qu’une forte présence de cellules immunitaires chez les personnes touchées par un cancer du sein est associée à un meilleur pronostic remontent à plus d’un siècle, et ont été faites par des médecins de la Mayo Clinic », détaille Roberto Salgado, co-président de l'International Immuno-Oncology Biomarker Working Group et co-responsable de l'étude. « Il a fallu une initiative internationale et un siècle pour ré-examiner ce biomarqueur et lui trouver une utilisation dans les soins aux patients ».
« Les TILs sont maintenant mesurées en routine lors de l’analyse des tissus d’un cancer du sein », rapporte le professeur Matthew Goetz, co-dernier auteur et oncologue médical à la Mayo Clinic. « Alors que de précédentes études se sont concentrées sur l’évaluation des TILs chez les personnes traitées par chimiothérapie, cette étude est la plus importante qui montre que la présence de TILs influence favorablement l’évolution des cancers du sein chez les personnes qui ont subi une chirurgie et/ou une radiothérapie, sans chimiothérapie supplémentaire ».
Pour réaliser cette étude, les chercheurs de Gustave Roussy et de la Mayo Clinic, en collaboration avec l’International immuno-Oncology biomarker working group, ont travaillé avec 11 partenaires supplémentaires pour collecter les données de 1 966 participantes, toutes touchées par un cancer du sein triple négatif localisé, ayant subi une opération chirurgicale avec ou sans radiothérapie mais toujours sans chimiothérapie. Les participantes ont été suivies sur une médiane de 18 ans. Les résultats ont montré que des niveaux plus élevés de TILs dans les tissus cancéreux mammaires sont associés à des taux de récidive plus faibles.
« Cinq ans après la chirurgie, 95 % des participantes atteintes d’un cancer triple négatif de stade 1 présentant de petites tumeurs, et dont les tumeurs présentaient un taux élevé de TILs, étaient encore en vie, comparé à 82 % présentant un taux faible de TILs. Fait important, les taux de rechute du cancer étaient significativement plus faibles chez les patientes dont les tumeurs avaient des taux élevés de TILs », détaille le dernier auteur de l’étude Stefan Michiels, responsable de l’équipe Oncostat (Gustave Roussy/Inserm U1018 CESP/Université Paris-Saclay). « Avec près de 2 000 participantes inclues dans l’étude, nous avons désormais rassemblé la plus importante cohorte internationale sur trois continents de personnes atteintes d’un cancer du sein triple négatif dont le traitement de base était la chirurgie sans chimiothérapie ».
« Les résultats de cette étude pourraient mener à une recommandation : inclure les TILs dans le rapport de pathologie des cancers du sein triple négatif localisé, puisque cela permettrait d’informer les cliniciens et les patients sur les options de traitements », explique le docteur Salgado.
De plus, ce biomarqueur nécessiterait simplement qu’un anatomopathologiste recense les cellules immunitaires lors de son observation de la lame d’anatomopathologie au microscope, et serait sans coût supplémentaire. Un élément qui pourrait se révéler central dans les régions possédant des ressources limitées, explique le docteur Leon-Ferre.
La plupart des personnes présentant un cancer du sein triple négatif suivent un traitement par chimiothérapie avant ou après la chirurgie, même ceux à un stade précoce. Le traitement par chirurgie est, dans pratiquement tous les cas, couplé à une chimiothérapie, ce qui peut entraîner des effets secondaires importants. Actuellement, les principaux facteurs pris en compte pour déterminer la mise en place d’une chimiothérapie sont la taille de la tumeur et la présence de métastases ganglionnaires. Cependant, les auteurs ont identifié le nombre de TILs comme un facteur d’influence supplémentaire sur le risque de récidive future.
Les chercheurs prévoient d'évaluer les TILs en tant que biomarqueurs d’aide à la décision de l’administration d’une chimiothérapie dans le cadre d'essais cliniques prospectifs. Des recherches sont en cours sur d'autres biomarqueurs potentiels.
Ces travaux ont été soutenus par le RHU MyProbe (financement de l’ANR et du CGI, ANR-17-RHUS-0008). Pour la suite, Les chercheurs prévoient d'évaluer les TILs en tant que biomarqueurs d’aide à la décision de l’administration d’une chimiothérapie dans le cadre d'essais cliniques prospectifs, comme l’essai ETNA financé par la Fondation Gustave Roussy.

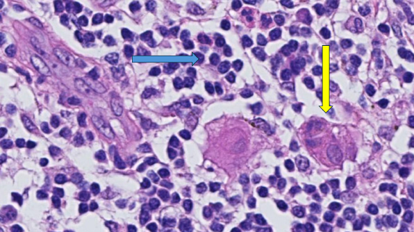
High TILs
This is a patient where the immune cells (blue arrow; the TILs: Tumor Infiltrating Lymphocytes) are attacking the cancer (yellow arrow).
These patients have a very good outcome, even if no chemotherapy is given to her.
This analysis only needs a microscope and can be done by all laboratories globally.

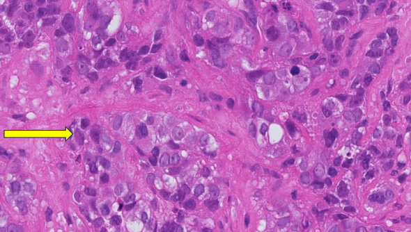
No TILs
This is a patient where there are NO immune cells (No TILs, No Tumor Infiltrating Lymphocytes), so the immune system of the patient is not attacking the cancer (yellow arrow).
These patients don’t have a very good outcome, so chemotherapy is needed.
This analysis only needs a microscope and can be done by all laboratories globally.
Source
Journal of American Medical Association
Tumor-infiltrating lymphocytes in triple-negative breast cancer
Article publié le 2 avril 2024
DOI : 10.1001/jama.2024.3056
