COVID-19 News | 20 mars 2020
Synthèse d'actualités scientifiques liées au COVID-19, réalisée par des experts de Gustave Roussy.

Epidémiologie
L’infection au nouveau coronavirus (SARS-CoV-2), Covid-19, chez l’enfant
Source : NEJM – 18 mars 2020
Résumé d’après Semih Dogan
Le NEJM reporte une étude décrivant le spectre de la maladie chez l’enfant. En effet, les caractéristiques épidémiologiques et les données cliniques sur les enfants infectés par le nouveau coronavirus (SARS-CoV-2) sont limitées. Les autorités chinoises ont reporté que sur 72 314 cas passés en revue, moins de 1% concernait des enfants de moins de 10 ans.
L’évaluation a été faite sur les enfants infectés par le SARS-CoV-2 traités dans l’hôpital pour enfants de Wuhan, le seul établissement habilité à traiter les enfants infectés de moins de 16 ans. Les résultats cliniques de 1 391 enfants ont été monitorés jusqu’au 8 mars 2020. L’infection par le SARS-CoV-2 a été confirmée chez 171 (12,3%) enfants. L’âge médian des enfants infectées était de 6,7 ans. 41,5% ont présenté de la fièvre tout au long de la maladie.
D’autres symptômes comprenaient une toux et érythème pharyngée. 27 patients (15,8%) ne présentaient aucun symptôme de l’infection ou de caractéristiques radiologique de la pneumonie. 12 patients présentaient des caractéristiques d’une pneumonie mais aucun symptôme de l’infection. 3 patients ont nécessité des soins intensifs et une assistance respiratoire ; tous avaient des comorbidités (hydronéphrose, leucémie pour laquelle le patient était sous chimiothérapie de maintenance, intussusception). 6 patients (3,5%) présentaient une lymphopénie (moins de 1 200 lymphocytes par microlitre de sang).
L’observation radiologique la plus fréquente était l’infiltrat en verre dépoli bilatéral (32,7%). Au 8 mars 2020, un patient était décédé. Un enfant de 10 mois présentant une intussusception avec défaillance multiviscérale est mort quatre semaines après son admission. 21 patients étaient hospitalisés dans un état stable et 149 patients avaient été autorisés à sortir de l’hôpital.
Contrairement aux adultes, la plupart des enfants infectés présentent une évolution clinique modérée et les infections asymptomatiques ne sont pas rares. L’étude de la contagiosité de ces patients asymptomatiques est importante pour orienter le développement des mesures de contrôle de la pandémie en cours.
Biologie
L’origine du virus
Source : Nature Medicine - 17 mars 2020
Résumé d’après Semih Dogan et Alexandre Bobard
Dans une correspondance parue dans Nature Medicine, les auteurs s’intéressent aux origines du nouveau coronavirus (SARS-CoV-2), Covid-19.
SARS-CoV-2 est le septième coronavirus connu à infecter les humains. Trois d’entre eux, SARS-CoV, MERS-CoV et SARS-CoV-2 peuvent entraîner des pathologies sévères alors que les quatre autres, HKU1, NL63, OC43 et 229E, sont associés à des symptômes modérés.
Grâce aux analyses comparatives des données génomiques de chacun de ces virus, les auteurs ont réussi à identifier deux caractéristiques notables du génome du SARS-CoV-2 :
- une mutation dans le domaine de fixation au récepteur ACE2 de la protéine spike impliquée dans l’entrée du virus dans sa cellule-cible. Cette mutation permet ainsi une liaison de forte affinité avec le récepteur ACE2 humain ;
- l’insertion d’un site de clivage polybasique au niveau de la jonction des sous-unités S1-S2 de cette protéine spike qui facilite l’entrée du virus dans la cellule.
Ces analyses permettent de conclure que le SARS-CoV-2 ne peut pas être une construction de laboratoire ou issu de la manipulation à dessein d’un autre virus et ont probablement nécessité une sélection naturelle chez l’animal ou chez l’homme. Une première hypothèse serait en effet une sélection naturelle sur une source animale avant un transfert chez l’homme sans exclure la possibilité d’un ou plusieurs hôtes intermédiaires. Les premiers cas de SARS ont été identifiés sur le marché Huanan à Wuhan en Chine. Il est donc tout à fait possible que la source animale se trouvait à cet endroit. SARS-CoV-2 est très similaire aux coronavirus retrouvés chez la chauve-souris ou le pangolin. Si cette hypothèse était vérifiée, il n’est pas impossible que de futurs événements de ce type se reproduisent à l’avenir. L’autre hypothèse serait une sélection naturelle chez l’homme après un passage d’une forme animale à l’homme. Dans ce cas, le virus aurait acquis ses caractéristiques structurales le rendant hautement transmissible et pathogène au gré des transmissions d’homme à homme passées inaperçues. Si cette hypothèse prévalait, la possibilité que cette même séquence de mutations se reproduise est très limitée.
La compréhension de l’origine d’une pandémie telle que nous connaissons actuellement et la description détaillée du mode de franchissement de la barrière de l’espèce par un virus relève d’un intérêt tout particulier pour la prévention de l’émergence de futurs événements zoonotiques de ce type.
Thérapeutique
- Hydroxychloroquine and azithromycin as a treatment of COVID-19: results of an openlabel non-randomized clinical trial
La chloroquine et l'hydroxychloroquine se sont révélées efficaces sur le SRAS-CoV-2 et rapportées efficaces chez les patients chinois atteints de Covid-19. Nous évaluons le rôle de l'hydroxychloroquine sur les charges virales respiratoires.
Lire l’article - Effective Treatment of Severe Covid-19 Patients with Tocilizumab
En décembre 2019, un syndrome respiratoire aigu sévère coronavirus 2 (SRAS-CoV-2) a été identifié à Wuhan, en Chine, qui s'est propagé rapidement et est devenu un problème de santé publique mondial. Notre objectif était d'évaluer l'efficacité du Tocilizumab chez les patients sévères atteints de la maladie à virus Corona-19 (COVID-19) et de rechercher une nouvelle stratégie thérapeutique…
Télécharger le fichier - A Trial of Lopinavir–Ritonavir in Adults Hospitalized with Severe Covid-19
Aucune thérapeutique n'a encore été prouvée efficace pour le traitement des maladies graves causées par le SRAS-CoV-2.
Lire l’article du New England Journal of Medicine
Imagerie
Indication et aspects caractéristiques de l’imagerie en cas de patient suspect de COVID-19.
Article rédigé par C. Balleyguier, S. Ammari, service d’imagerie diagnostique de Gustave Roussy
Le contexte de la pandémie de Covid-19 entraîne une demande accrue d’examens d’imagerie en cas de suspicion clinique d’infection à SARS-Cov-2. Il apparait important de faire un point sur ce sujet.
1) Quels examens d’imagerie sont indiqués ?
La radiographie du thorax n’est pas indiquée.
Le scanner thoracique est réservé aux patients où il y a un impact sur la prise en charge, en cas de signes de sévérité (désaturation) ou pour éliminer les autres indications urgentes (pneumopathies bactériennes, insuffisance cardiaque, embolie pulmonaire par exemple…), en attente des résultats de la PCR ou en première intention si les délais deviennent trop longs. Les sensibilité et spécificité du scanner thoracique sont estimées à 80-90 % et 60-70 % respectivement [1]. Le scanner thoracique peut également être utile pour suivre l’évolution chez des patients présentant une aggravation du tableau de détresse respiratoire aiguë. Les anomalies les plus sévères chez les patients qui ont guéri se voient vers le 10e jour qui suit le début des symptômes cliniques [2]. Il s’agit d’un scanner thoracique en coupes fines sans injection de produit de contraste. Les patients gardent le masque pendant l’examen, et les manipulateurs sont équipés de toutes les protections nécessaires (gants, friction hydro-alcoolique, surblouses, masques à visière notamment). La salle de scanner et le lit d’examen sont désinfectés (bio-nettoyage) et eau de javel après l’examen d’un patient suspect d’être infecté Covid-19, le tout prenant 20 mn environ.
2) Les signes évocateurs sur le scanner sont les suivants [3,4]:
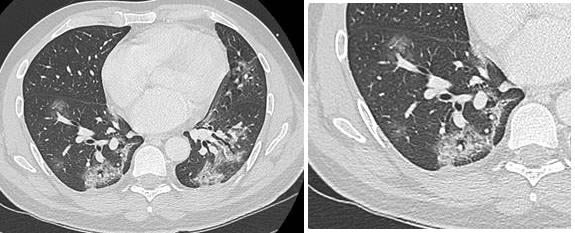
- Des opacités en « verre dépoli » bilatérales sous pleurales postérieures (Fig. 1)
- Un aspect de « crazy paving » (mosaïque) : aspect de verre dépoli associé à des épaississements intra et interlobulaires (Fig. 2a)
- Des condensations parenchymateuses de forme linéaire (Fig. 2b et 3)
- Un aspect de pneumopathie organisée, tardivement
Les anomalies vues au scanner peuvent être classées en grade de sévérité débutant, avancé ou sévère. Les anomalies scanners sont bien corrélées avec la sévérité de l’atteinte clinique, ce qui est intéressant pour adapter la prise en charge.
Classiquement, il n’y a pas d’épanchement pleural ni d’adénopathies médiastinales et les excavations sont exceptionnelles.
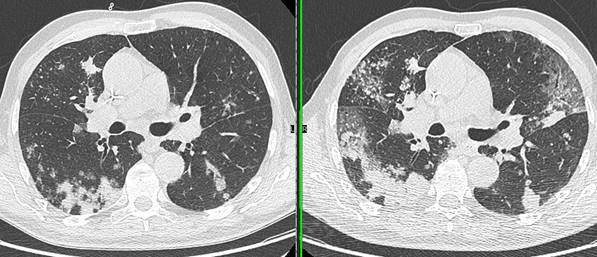
A Gustave Roussy, une des difficultés est l’association fréquente à des lésions pulmonaires secondaires ou des anomalies parenchymateuses liées aux traitements rendant le diagnostic potentiellement difficile. La comparaison radiologique est donc particulièrement utile pour aider au diagnostic (Fig. 3).
3) Quid des phases précoces et des signes négatifs ?
A noter toutefois que le scanner thoracique peut être normal à la phase précoce (0-2 jours) dans la moitié des cas [5]. Mais le scanner peut aussi montrer des anomalies alors que les patients Covid + sont asymptomatiques ; par exemple, sur 82 patients asymptomatiques Covid + du bateau de croisière « Diamond Princess », 44 présentaient des anomalies parenchymateuses pulmonaires en verre dépoli [6].
Dans une étude récente [7], 3 % des patients symptomatiques présentaient des images suspectes de Covid-19 avec des tests PCR négatifs, mais devenus positifs sur des tests PCR de contrôle, ce qui montre l’excellente sensibilité du scanner au stade initial de la maladie. Ainsi on pourrait proposer un scanner thoracique sans injection, en cas de forte suspicion clinique de Covid-19 avec un test PCR négatif, et proposer un confinement avec contrôle du test en cas d’anomalie avérée au scanner. Cela pourrait faire l’objet d’une étude de recherche clinique à l’Institut.

Figure 1 : Aspect de verre dépoli de la base gauche. Anomalies débutantes.

Figure 2a : Aspect de « crazy paving » (mosaïque) des deux bases chez un patient de 43 ans, PCR +.

Figure 2b : aspect de condensation parenchymateuse linéaire de la base gauche, le même patient.

Figure 3 : apparition de plages de verre dépoli bilatérales avec un aspect de pneumopathie (condensation) à droite, sur le scanner de mars, alors que le patient était suivi pour des lésions secondaires pulmonaires visibles en janvier 2020 ; patient de 76 ans, altération de l’état général. Le suivi évolutif est utile pour différencier ces nouvelles lésions très évocatrices d’infection Covid-19. Le diagnostic de Covid-19 a été confirmé après le scanner.

Figure 4 - reconstruction scanner 3d volumique qui met bien en évidence les zones lésionnelles (mars 2020)
Liens utiles
- Recommandations d’experts portant sur la prise en charge en réanimation des patients en période d’épidémie à SARS-CoV2 (mise en œuvre avec la mission COREB nationale)
- Avis du Haut Conseil de la santé publique relatif à la prise en charge des cas confirmés d’infection au virus SARS-CoV2
- Bulk and single-cell transcriptomics identify tobacco-use disparity in lung gene expression of ACE2, the receptor of 2019-nCov
La transcriptomique en vrac et unicellulaire identifie la disparité du tabagisme dans l'expression des gènes pulmonaires d'ACE2, le récepteur de 2019-nCov - Characteristics and Outcomes of 21 Critically Ill Patients With COVID-19 in Washington State
Dans cette série de cas, nous décrivons la présentation clinique, les caractéristiques et les résultats des cas incidents de COVID-19 admis à l'unité de soins intensifs (USI) de l'Hôpital Evergreen pour informer d'autres cliniciens traitant des patients gravement malades atteints de COVID-19… - The Treatment of Patients With Cancer and Containment of COVID-19: Experiences From Italy
L'Italie et le reste du monde connaissent une flambée d'un nouveau bêta-coronavirus connu sous le nom de syndrome respiratoire aigu sévère coronavirus-2 (SARSCoV-2 [COVID-19]) . - Severe Outcomes Among Patients with Coronavirus Disease 2019 (COVID-19) – United States
Que sait-on déjà sur ce sujet ? Qu'ajoute ce rapport ? Quelles sont les implications pour la pratique de la santé publique ? - COVID-19: Forecasting short term hospital needs in France
L'Europe est désormais considérée comme l'épicentre de la pandémie de SRAS-CoV-2, la France étant parmi les pays les plus touchés. Le but de cette étude était d'estimer la dynamique de l'épidémie en France et d'évaluer son impact sur les ressources de santé pour chaque région métropolitaine de France - Études cliniques en cours COVID-19 - Danish Midicines Agency
Références Imagerie
1. Song F, Shi N, Shan F, Zhang Z, Shen J, et al. (2020) Emerging 2019 Novel Coronavirus (2019-nCoV) Pneumonia. Radiology 295: 210-217.
2. Pan F, Ye T, Sun P, Gui S, Liang B, et al. (2020) Time Course of Lung Changes On Chest CT During Recovery From 2019 Novel Coronavirus (COVID-19) Pneumonia. Radiology: 200370.
3. Shi H, Han X, Jiang N, Cao Y, Alwalid O, et al. (2020) Radiological findings from 81 patients with COVID-19 pneumonia in Wuhan, China: a descriptive study. Lancet Infect Dis.
4. Bai HX, Hsieh B, Xiong Z, Halsey K, Choi JW, et al. (2020) Performance of radiologists in differentiating COVID-19 from viral pneumonia on chest CT. Radiology: 200823.
5. Bernheim A, Mei X, Huang M, Yang Y, Fayad ZA, et al. (2020) Chest CT Findings in Coronavirus Disease-19 (COVID-19): Relationship to Duration of Infection. Radiology: 200463.
6. Inui S, Fujikawa A, Jitsu M, Kunishima N, Watanabe S, et al. (2020) Chest CT Findings in Cases from the Cruise Ship “Diamond Princess” with Coronavirus Disease 2019 (COVID-19). Radiology: Cardiothoracic Imaging 2: e200110.
7. Xie X, Zhong Z, Zhao W, Zheng C, Wang F, et al. (2020) Chest CT for Typical 2019-nCoV Pneumonia: Relationship to Negative RT-PCR Testing. Radiology: 200343.
Cette newsletter est éditée par Gustave Roussy, sous la direction éditoriale du Pr Fabrice Barlesi et avec la coordination du Dr Antoine Crouan.
► Lire les autres Covid-19 News
